Fyziológia bunky

Obsah

Štruktúra a funkcia buniek

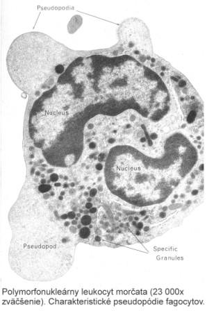
Tvar jednotlivých typov buniek je geneticky určený. Základný tvar buniek je guľovitý, z ktorého možno odvodiť všetky ostatné tvary buniek. Vznik iných tvarov buniek zapríčiňuje napríklad vzájomný tlak buniek, ktoré sú stlačené k sebe v rozličných typoch tkanív. Niektoré bunky obsahujú vnútri cytoplazmy pevné štruktúry, ktoré majú vplyv na tvar buniek (bunky svalového tkaniva obsahujú myofibrily; nervové tkanivo obsahuje neurofibrily). Aj funkcia bunky má spravidla významný vplyv na jej tvar. Biele krvinky menia svoj tvar vysielaním pseudopódií (panôžok) pri fagocytóze, alebo pri prenikaní cez endoteliálne bunky stien kapilár (diapedéza). Niektoré bunky so špecializovanou funkciou majú charakteristický tvar.

Veľkosť buniek je veľmi variabilná a bunky iba málokedy dosahujú makroskopické rozmery. Obrovskými bunkami sú vajíčka vtákov a plazov, ktorých veľkosť je výrazne zväčšená veľkým množstvom žĺtka a bielka. Za najväčšiu bunku v živočíšnom svete možno pokladať pštrosie vajce. Na geneticky určenú veľkosť jednotlivých buniek majú významný vplyv aj vonkajšie podmienky. Bunky sú v rámci svojich determinovaných možností o to väčšie, čím výhodnejšie majú životné podmienky (výdatný prísun vody, výživných látok a elektrolytov, optimálne teplotné podmienky a pod.).

Stavebné súčasti buniek rozdeľujeme na obligátne (jadro, membrána, cytoplazma, mitochondrie, retikulum a pod.), ktoré sú v nevyhnutné v každej eukaryotickej bunke a neobligátne, ktoré sa nevyskytujú v každom type bunky.

Najvýznamnejšími základnými stavebnými súčasťami bunky sú základná cytoplazma, ktorá obsahuje organely, fibrilárne štruktúry, inklúzie a iné súčasti buniek a karyoplazma, ktorá utvára jadro. Bunka je obalená cytoplazmovou membránou , ktorá utvára obal bunky a viacerými mechanizmami umožňuje transport látok do bunky a von z bunky.

Všetky živé organizmy možno rozdeliť podľa stavby tela na nebunkové organizmy, jednobunkové organizmy, bunkové kolónie a viacbunkové organizmy.