Fyziológia bunky

Obsah

Golgiho aparát

V roku 1898 Camillo Golgi, taliansky neuromorfológ, opísal novú bunkovú organelu v nervových bunkách sovy, ktorú pomenoval „apparato reticolare interno“.

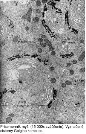
Golgiho aparát pozostáva z troch základných stavebných súčastí – váčiky (sacculi), vezikuly a kondenzované vakuoly. Súbor sploštených váčikov ohraničených hladkými membránami bez ribozómov sa označuje ako sacculi. Štrbinovitý priestor váčikov v centrálnej oblasti sa zvyčajne smerom k periférii rozširuje. V Golgiho aparáte sa vyskytuje jeden alebo viacero súborov sakulov, kde v jednom súbore sa vyskytuje 3 – 10 váčikov. V niektorých bunkách prebiehajú váčiky rovno, častejšie sú zahnuté. Jedna strana je konvexná a druhá strana povrchu váčikov je konkávna. Na konvexnom povrchu súboru váčikov sa nachádzajú početné vezikuly. Malé vezikuly vznikajú odškrcovaním z cisterien granulovaného endoplazmatického retikula a prinášajú do oblasti Golgiho aparátu produkt syntetizovaný v oblasti granulovaného endoplazmatického retikula (proteíny) na ďalšie spracovanie, ale aj membránový materiál. Na konkávnom povrchu súborov váčikov sa nachádzajú vakuoly a vezikuly rôznej veľkosti a hustoty obsahujúce sekrečný materiál (kondezujúce vakuoly). Materiál zahustený (kondenzovaný) v Golgiho váčkoch opúšťa Golgiho aparát vo forme kondenzujúcich vakuol (prosekrečné granuly). Prosekrečné granuly sa ďalej zahusťujú („dozrievajú“) a putovaním k bunkovej membráne vznikajú sekrečné granuly. Konvexný povrch súboru Golgiho váčikov sa označuje ako strana cis–, aj nezrelá strana, vstupná strana alebo proximálna strana. Naproti tomu druhý porvch, ktorý má prevažne konkávny tvar sa označuje ako strana trans–, zrelá strana, výstupná strana, alebo distálna strana Golgiho aparátu.

Základnú súčasť Golgiho aparátu utvárajú diktyozómy (gr. dictyon – sieť; soma – teliesko). Sú to paralelne uložené sploštené tubuly a cisterny z hladkých membrán. Membrány, z ktorých sa skladá Golgiho aparát pochádzajú z granulovaného endoplazmatického retikula a k cis–povrchu Golgiho váčikov prenikajú prostredníctvom malých vezikúl – transportné (intermediárne) vezikuly.

Golgiho aparát sa skladá z membrán lipoproteínového charakteru, v ktorých boli dokázané mnohé enzýmy ako tiamínpyrofosfatáza (TPP–áza), nukleoziddifosfatáza (NDP–áza), kyslá fosfatáza, alkalická fosfatáza, 5–nukleotidáza, adenylcykláza a ďalšie.

Sekrečné proteíny určené na vylúčenie z bunky sa syntetizujú výlučne na polyribozómoch viazaných na membrány granulovaného endoplazmatického retikula. Novosyntetizovaný produkt sa dostáva potom cez membrány cisterien do lúmenu endoplazmatického retikula. Sekrét je ďalej transportovaný cestou malých intermediárnych vezikúl do oblasti Golgiho komplexu. Okrem koncentrácie bielkovinových sekrétov jednou z dôležitých funkcií Golgiho komplexu je obalenie sekrečného produktu membránou a utvorenie sekrečnej granuly. Okrem naviazania sacharidov na proteíny (glykozylácia glykoproteínov) sa predpokladá, že v oblasti Golgiho aparátu sa naviažu aj niektoré sacharidy na lipidy (glykozylácia glykolipidov). V oblasti Golgiho aparátu nastáva aj sulfatácia niektorých látok.

Golgiho aparat (IFA)