Fyziológia bunky

Obsah

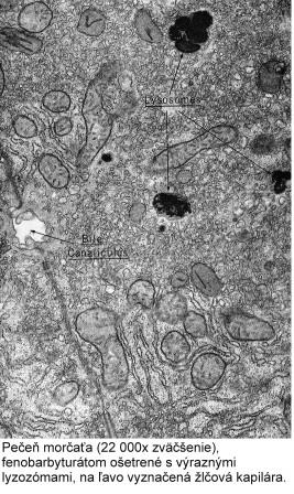
Lyzozómy

Lyzozómy sú špecializované organely eukaryotických buniek ohraničené biologickou membránou, ktoré sa tvoria v Golgiho komplexe. Môžu mať rôzny tvar (guľovité, oválne, nepravidelného tvaru) a obsahujú homogénny alebo jemne zrnitý matrix. Lyzozómy sú miestom intracelulárneho trávenia a obmeny bunkových zložiek. Sú to váčiky, ktoré obsahujú celé spektrum, viac ako 40 hydrolytických enzýmov, prevažne tráviacich enzýmov. Sú schopné natravovať a odbúravať rôzne endogénne a exogénne látky. Jedna z funkcií enzýmov v lyzozómoch je tráviť prokaryotické bunky, ktoré boli pohltené fagocytózou. Lyzozómy sú pravidelnou súčasťou bunky a vo väčšom množstve sa vyskytujú najmä vo fagocytujúcich bunkách, napríklad makrofágoch a neutrofilných granulocytoch. Membrána lyzozómu je nepriepustná pre vnútorné enzýmy a je tiež odolná voči ich účinkom. Toto uzavretie určitých enzýmov vo vnútri lyzozómu je dôležité, pretože tieto enzýmy sú často schopné rozložiť mnohé z vlastných bunkových štrukturálnych komponentov.

V bunkách je možné rozlíšiť tri typy lyzozómov – primárne lyzozómy (obsahujú hydrolytické enzýmy), heterofagické a autofagické vakuoly (obsahujú materiál exogénneho alebo endogénneho pôvodu, ale bez lytických enzýmov) a sekundárne lyzozómy (vznikajú splynutím primárneho lyzozómu s heterofagozómom alebo autofagozómom).

Neskoré formy sekundárnych lyzozómov, v ktorých proces trávenia výrazne pokročil alebo sa skončil, prípadne sa v nich hromadia nestráviteľné zvyšky, označujeme ako reziduálne telieska (telolyzozóm), niekedy označované aj ako terciárne lyzozómy. Enzýmová aktivita telolyzozómov je veľmi nízka alebo vyčerpaná. Reziduálne telieska môžu pretrvávať v cytoplazme alebo sa vylučujú z bunky ako nestráviteľné zvyšky. Multivezikulárne telieska sú útvary ohraničené membránou, ktoré obsahujú rôzny počet vezikúl o veľkosti 50 – 70 nm v tmavom alebo svetlom matrixe. Ich veľkosť je asi 0,5 µm. Pokladajú sa za druh lyzozómov. Peroxizómy sú okrúhle organely, ktoré sú ohraničené membránou a ich veľkosť je asi 0,5 – 1,2 µm a sú prítomné vo veľkom počte v hepatocytoch a v obličkách, teda v bunkách s vysokou glukoneogenézou. Peroxizómy menšie ako 0,3 µm sa nazývajú mikroperoxizómy. Matrix je homogénna a obsahuje D– a L–aminooxidázy a oxygén oxidoreduktázu. Peroxizómy obsahujú aj enzýmy, ktoré sa podieľajú na metabolizme lipidov. Mikrotelieska sú štruktúry guľatého, elipsovitého i tyčinkovitého tvaru o veľkosti 0,5 – 1,5 µm, obalené jednoduchou membránou. Obsahujú rôzne enzýmy a vyskytujú sa vo zvýšenej miere pri nárazových enzymatických procesoch v bunkách. Sekrečné granule sa nachádzajú v bunkách, ktoré hromadia svoje produkty až kým sa k nim nedostane metabolický, hormonálny alebo nervový signál k jeho uvoľneniu (regulovaná sekrécia).