Fyziológia bunky

Obsah

Jadro

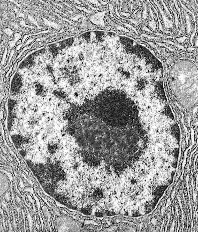
Bunkové jadro (lat. nucleus, gr. karyon) opísal v roku 1825 vo vtáčom vajíčku J. E. Purkyňe ako tzv. zárodočný mechúrik (vesicula germinativa). Bunkové jadro je regulačným a koordinačným centrom každej bunky. Je nositeľom genetického materiálu a ovplyvňuje, riadi a kontroluje činnosť všetkých cytoplazmových štruktúr. Jadro ako genetické riadiace centrum je zodpovedné za všetky životné prejavy bunky. Periodické zmeny v štruktúre bunkového jadra, charakteristicky sa opakujúce pri každom druhu buniek, umožňujú rozlíšiť hlavné formy bunkového jadra – interfázové (interkinetické; pracovné) jadro a mitotické (karyokinetické) jadro.

Tvar jadra sa prispôsobuje tvaru bunky. Základný tvar jadra je guľovitý. Takéto jadrá sa nachádzajú v guľovitých, kubických, polyedrických a podobných bunkách. Veľkosť jadra je veľmi variabilná. Vo väčšine prípadov sa vyskytujú jadrá s priemerom v rozmedzí 4 – 30 µm. Objem jadra a cytoplazmy je proporcionálny (nukleo–cytoplazmová relácia) a veľkosť jadra je druhovo špecifická. Veľkosť jadier v niektorých bunkách prejavuje sexuálny bimorfozmus. Jadrá samičích buniek určitého druhu sú objemnejšie ako samčie alebo naopak.

Pojem interkinetické alebo interfázové jadro sa používa na označenie takých jadier, ktoré nie sú v procese mitózy. Ide o jadrá, ktoré podliehajú pravidelným cyklickým zmenám a sú práve v štádiu medzi dvoma bunkovými deleniami.

Jadrový obal sa skladá z dvoch membrán, kde každá z týchto membrán má hrúbku asi 8 nm a skladbu typickej biomembrány. Vonkajšia a vnútorná membrány sú oddelené od seba priestorom širokým 20 – 80 nm. Tento priestor sa nazýva perinukleárny priestor, alebo perinukleárna cisterna.

Na mnohých miestach komunikuje aj s dutinami cisterien granulovaného endoplazmatického retikula. Vonkajšia membrána jadrového obalu je na cytoplazmovej strane pokrytá ribozómami. Perinukleárny priestor sa môže za určitých funkčných, alebo patologických okolností výrazne rozšíriť (dilatácia perinukleárnej cisterny). Jadrový obal netvorí na povrchu jadra súvislý povlak rovnakej stavby, ale je v určitých pravidelných odstupoch prerušovaný štruktúrami, ktoré sa označujú ako jadrové póry (nukleopóry). Chromatín tvorí v období medzi deleniami buniek viditeľnú substanciu, ktorá najviac charakterizuje štruktúru bunkového jadra. Z morfologického hľadiska je chromatín fibrilárna sieťovitá štruktúra s obsahom granulárnych elementov. V interfáze sa v svetelnom mikroskope znázorňuje iba časť chromozómov vo forme bazofilných zrniečok, alebo väčších hrudiek, ktoré tvoria heterochromatín. Zvyšok homogénneho a svetlého chromatínu sa nazýva euchromatín. Usporiadanie a množstvo chromatínu v jadre je charakteristické pre určitý druh buniek, pre štádium diferenciácie alebo zrelosti bunky, ako aj pre metabolickú aktivitu jadra. Väčšina jadier buniek obsahuje jedno až tri jadierka (lat. nucleolus), ale vyskytujú sa aj jadrá s viacerými jadierkami. Veľkosť jadierok sa pohybuje od 1 do 5 µm. Jadierka rôznych typov majú aj rozdielnu štruktúru. V ultraštruktúre je charakteristické, že jadierko na povrchu neobsahuje ohraničujúcu membránu a javí sa ako sieťovito usporiadaný osmiofilný materiál.

V priebehu delenia jadier v mitóze sa v bunke výrazne zníži proteosyntéza. V tomto období (profáza) sa jadierko stráca, a tým prechodne prestáva aj produkcia ribozómov. Jadierko sa opäť obnoví v dcérskych bunkách v období telofázy a jeho vytvorenie sa uskutočňuje na častiach určitých chromozómov, ktoré sa označujú ako organizátor jadierka. V diploidnej sade chromozómov človeka existuje desať tzv. satelitných chromozómov, ktoré sa zúčastňujú na tvorbe jadierka. Z uvedených komponentov sa tvoria najprv pronukleoly, ktoré fúziou vytvoria definitívne jadierka.

Okrem jadierka sa vyskytujú ribonukleové kyseliny v jadre aj vo forme extranukleolárnych ribonukleoproteínových štruktúr. Patria k nim perichromatínové filamenty, perichromatínové a interchromatínové granuly.

Jadrový matrix (karyoplazma) je bielkovinový koloidný roztok v ktorom sa nachádza chromatín a jadierko. V jadre sa identifikovala priestorová sieťovitá štruktúra, ktorá sa označuje ako nukleárny a v jadierku ako nukleolárny skelet.

Jadrové inklúzie sa nachádzajú v jadrách mnohých ľudských a zvieracích buniek. V obraze svetelného mikroskopu často vznikali problémy medzi rozlíšením vírusových a iných nevírusových jadrových inklúzií. Pomocou elektrónovej mikroskopie sa zistilo, že väčšina jadrových inklúzií obsahuje cytoplazmové štruktúry a teda nie sú vírusového charakteru. Ďalej sa ukázalo, že mnohé z týchto inklúzií sú v skutočnosti pseudoinklúzie. Na rozdiel od minulosti sú v súčasnej dobe jadrové telieska pokladané za normálnu zložku bunkového jadra.

Rozmnožovanie je jedným zo základných životných prejavov bunky. V živočíšnych bunkách prebieha delením už existujúcich buniek. Okrem niektorých veľmi diferencovaných buniek (nervové bunky, zmyslové bunky, bunky myokardu a iné) majú všetky bunky schopnosť rozdeliť sa na dve identické bunky. Počas tohto procesu sa rozdelí jadro – karyokinéza, aj cytoplazma – cytokinéza. Pri mitóze (nepriame bunkové delenie) vznikajú z materskej bunky dve rovnaké dcérske bunky. Karyokinéza pri mitóze prebieha tak, že dcérske bunky získavajú rovnaký počet chromozómov ako má materská bunka. Meióza (redukčné delenie) prebieha len pri dozrievaní pohlavných buniek. Pri tomto bunkovom delení dcérske bunky získavajú iba polovičnú sadu chromozómov a polovicu genómu.

Amitóza (priame delenie buniek) znamená obyčajne zaškrtenie bunkového jadra bez vizualizácie chromozómov, bez rozpustenia jadrového obalu a bez utvorenia deliaceho vretienka.