Fyziológia bunky

Obsah

Mitochondrie

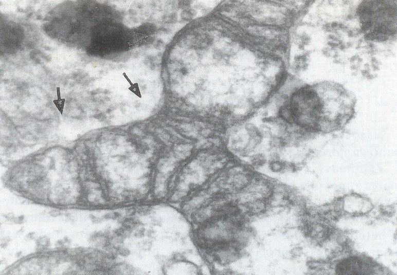
Mitochondrie dnes zaraďujeme medzi najdôležitejšie bunkové organely, pretože sú metabolicko – energetickým ústredím buniek. Názov mitochondrie pochádza zo zloženého gréckeho slova mitos (znamená stuha alebo vlákno) a chondros (zrniečko), t.j. vláknité, stuhové zrniečka. Mitochondrie sa javia vo svetelnom mikroskope ako zrniečka, tyčinky alebo vláknité útvary. Rozmery mitochondrií sú veľmi variabilné, závisia predovšetkým od typu buniek, v ktorých sa nachádzajú, i od intenzity funkcie, ktorú bunka vykonáva.

Mitochondrie môžu mať valcový, vajcový alebo guľový tvar (v priečnom reze), niekedy sú to mitochondrie rozvetvené, najmä pri priečnom delení a pučaní. Zloženie mitochondrií je v celom živom svete prakticky veľmi podobné. Skladajú sa z dvoch častí – z membránovej zložky a základnej hmoty matrix, ktorá vypĺňa vnútro mitochondrie a je granulovaná. Membránová zložka sa skladá z dvoch systémov biologických membrán – z jednej vonkajšej tzv. obalovej membrány a jednej vnútornej, ktorá vybieha priehradkovito na viacerých miestach dovnútra mitochondrie a utvára priehradky – kristy (cristae mitochondriales). Kristy sú rozlične dlhé, niekedy dosiahnú na druhú stranu mitochondrie a splynú s protiľahlou vnútornou membránou. Podľa štruktúry kríst rozoznávame 4 základné typy mitochondrií: kristový, tubulárny, prizmatický a zmiešaný typ.

Mitochondrie sú predovšetkým metabolicko – energetickým ústredím buniek. V nich sa odohrávajú životne dôležité procesy získavania energie z dýchania, pričom prebieha oxidačná fosforylácia, cytochrómový transport elektrónov vodíka na kyslík, Krebsov cyklus kyseliny citrónovej a cyklus oxidácie mastných kyselín.

V mitochondriách často nachádzame ribozómy, ktoré nazývame mitoribozómy. Mitoribozómy sú o niečo menšie ako ribozómy v cytoplazme, ale majú schopnosť farbiť sa špecifickými farbivami ako cytoplazmové ribozómy a sú takisto citlivé na pôsobenie RNA–ázy. V rokoch 1963 – 1965 viacero autorov dokázalo, že mitochondrie obsahujú vlastnú DNA. Nazvali ju extrachromozómovou DNA. Odlišuje sa od DNA jadra nižšou molekulovou hmotnosťou a iným poradím nukleotidov, z čoho vyplýva, že má samostatnú genetickú informáciu, ktorá (ako sa neskoršie ukázalo) je schopná programovať syntézu bielkovín membrán mitochondrií, dýchacích enzýmov a porfyrínu. Množstvo mitochondriovej DNA je vcelku malé, predstavuje asi 2% celkového obsahu DNA v určitej bunke.